Tooth-Colored Fillings
Strong and Natural Looking
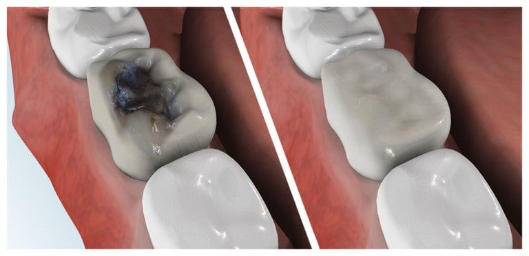
White fillings are made from a high-strength composite resin that can be easily color-matched to your natural tooth making it nearly invisible to you and anyone else. Unlike silver and gold fillings, composite tooth-colored fillings actually bond to the tooth which means they support the surrounding tooth structure, which helps to prevent breakage and insulate the tooth from excessive temperature changes. You are much less likely to have a composite filling fall out which is a common issue with metal fillings.
Replacing Old Silver Or Gold Amalgam Fillings
Life Smiles Dental Care specializes in beautiful cosmetic dentistry. Metal fillings are often thought of as an eyesore especially with the front teeth that are visible to everyone when you smile. We are able to remove those old metal fillings and replace them with today's white fillings which are nearly identical in color to the teeth that they are in.
Virtually everyone is a candidate to have metal fillings replaced with natural-looking white fillings. Request an appointment online or call our office directly at (La Jolla) 858-455-7777, or (Chula Vista) 619-482-5555 to discuss replacing your old metal fillings with white ones.
Tooth-Colored Fillings
Composite fillings are today's modern filling choice. They are made to match your tooth's natural color to make them virtually invisible to notice and are placed onto the tooth by bonding the filling material to the tooth so they do not have the unlikely chance of falling off. Many patients choose to replace their old silver and gold fillings with composite fillings.
Other Benefits:
- Beautiful in appearance
- Completed in a single visit
- No filling leaks
- Less chance of tooth cracking
Single Visit Restorations Via CEREC

CEREC crowns are the preferred dental restoration for damaged teeth or after a root canal or dental implant placement. CEREC crowns are color matched to blend in perfectly with surrounding teeth.

For when a filling might ruin tooth structure integrity but a crown is unnecessary a CEREC inlay or onlay is the perfect dental restoration to restore a tooths functionality yet keep a natural appearance.

High-strength fillings are color matched to the tooth the dental restoration is being placed in. CEREC retain a natural biting surface that is otherwise lost in some typical filling methods.

CEREC veneers are created to perfectly fit over a prepared tooth that was originally damaged or discolored. The final product is a fully functional, color-matched dental restoration ready for use.
How Much Do White Fillings Cost?
As with every dental procedure, prices vary depending on each person's unique treatment situation but white fillings generally cost more than metal fillings. Most patients report back to us that the advantages of white fillings outweigh the price differences because of their natural appearance and unique ability to bond to the teeth.
Are White Fillings Covered Under Dental Insurance?
Many dental insurance plans cover the price of white fillings up to that of metal fillings. Life Smiles Dental Care will gladly check with your dental insurance provider to see just how much they will cover and help you experience white fillings for yourself.
If you are thinking about replacing your old metal fillings with natural-looking white fillings, please call us at (La Jolla) 858-455-7777, or (Chula Vista) 619-482-5555 or request an appointment today. We'll get you in and will go over everything needed to get you on your way to a much more natural looking smile.
Schedule An Appointment
Life Smiles Dental Care would love to meet you and your family and provide you with the dental care you need and give you all smiles you deserve!