Orthopedics

Space Maintainer

A space maintainer is a removable or fixed appliance designed to maintain an existing space. They are usually fitted to children when they have lost baby teeth early. The gap left from losing this tooth needs to be held open for the permanent tooth to erupt in its correct position.

Space Maintainer

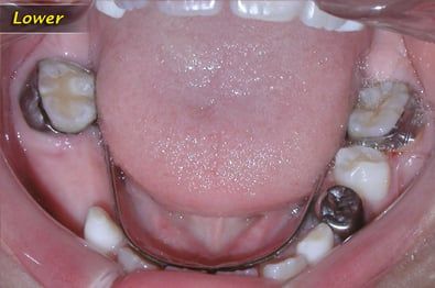
Lingual Arch

A lower lingual arch is a space maintainer for the lower teeth. It maintains the molars where they are and it does not move them. It keeps the molars from migrating forward and prevents them from blocking off space of teeth that develop later. Used when early loss of baby teeth or when lower teeth are slightly crowded.

Lingual Arch

Palatal Expander

A palatal expander is an appliance placed in the roof of the mouth to widen the upper dental arch, which allows the arch to be painlessly separated and spread. A treatment used for younger patients. Many times a palatal expander can be used to create a proper alignment of the arches so permanent teeth have room to erupt in a natural position. Often, the use of an arch expander early may eliminate the need for braces later.

Palate Expander

Conventional Braces

Braces are bonded brackets, archwires and elastic bands that move crowded or spaced teeth into the proper position for appearance and function.

Over a period of time, teeth will shift if constant, gentle pressure is applied. Brackets are bonded to the front surface of each tooth and wires are attached to the brackets with elastic bands. The slight tension on the wire is gently transferred to the bracket through the elastic band.

Today's orthodontic treatment is faster, comfortable and more fashionable than ever for children, teens and adults.

Metal Braces

The Invisalign Process

  1. Treatment Plan
    We will thoroughly evaluate the condition of your teeth by visual inspection as well as taking precise radiographs. This will allow us to determine how to best position your teeth, step-by-step throughout the Invisalign process.
  2. Custom Aligners
    A high-tech Invisalign lab designs a series of clear Invisalign aligners based upon the exact requirements needed to treat your specific case.
  3. Wear A New Aligner Every 2 Weeks
    Depending on your specific situation, the exact time between changing aligners can vary but generally speaking, you will wear your aligners every day (about 20-22 hours a day) and start wearing the next set of aligners approximately every two weeks.
  4. The Big Reveal
    During the final days of wearing your last aligner, congratulations; you have now achieved the beautiful straight smile you were after! IT IS POSSIBLE. Call us at (La Jolla) 858-455-7777, or (Chula Vista) 619-482-5555 and let Life Smiles Dental Care prove to you that Invisalign can work for you.

Schedule An Appointment

Life Smiles Dental Care would love to meet you and your family and provide you with the dental care you need and give you all smiles you deserve!

By Phone

La Jolla 858-455-7777
Chula Vista 619-482-5555
OR

Online